国文医院急诊精准识破凶险“腹内疝”急症



96120急救中心 > 新闻   阅读:8 次

急诊室是生命守护的前沿阵地,深夜更是考验医者担当与专业的关键时刻。当城市沉入梦乡,急诊室的灯光始终明亮,医护人员坚守岗位,与时间赛跑、与死神博弈。近日,凌晨一点,国文医院急诊科就上演了一场惊心动魄的腹内疝急救,值班医生凭借精准判断与高效处置,成功为患者赢得生机,彰显了医者的初心与使命。

患者张大叔(化名)被儿子用担架紧急送往急诊室,已被剧烈腹痛折磨得说不出话,身体蜷缩、双手捂腹,额头上的汗珠不断滚落。“大夫!快救救我爸!”家属满脸焦灼与无助。

刚处理完外伤患者的值班医生,来不及歇口气便快步迎上,一边快速为张大叔测量血压、检查心率,一边快速询问病史。“我爸晚饭后肚子胀,后来疼得越来越厉害,还吐了好几次……”张大叔的儿子声音不停颤抖。

医生按压老张腹部,患者发出痛苦呻吟,但腹部无明显肌紧张。结合血压偏低、心率偏快、脉搏细弱的体征,他眉头拧紧,追问得知患者三年前做过胃癌手术,瞬间警觉到隐蔽性强的腹内疝。

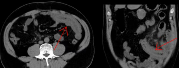
这种疾病疝环位于腹腔内部,体表无法触及,肠管一旦嵌顿,数小时内就可能血供中断,引发肠坏死,而腹部术后孔隙、肠粘连正是主要诱因。医生深知每延误一分钟,患者就多一分危险,当即开具CT检查单,吩咐护士同步建立静脉通路、抽血化验。

看着家属攥着检查单发抖的手,医生轻声安抚:“别慌,交给我。”CT结果确诊腹内疝、小肠嵌顿,高度怀疑肠坏死,当即决定:“马上住院,准备手术!”面对家属的恐慌,急诊医生耐心告知:“情况虽险,但发现及时,需要立刻手术,请相信我们。”护士推着平车将张大叔送往手术室。随着平车远去,急诊医生转身回到诊室,又一位患者被搀扶进来,他随即投入新的坚守。

一场急救落幕,一份坚守延续。窗外夜色深沉,急诊科的灯光依旧明亮。急诊医生用专业驱散病痛,用坚守守护希望,在深夜里与时间赛跑,用一言一行诠释“人民至上、生命至上”的医者担当,为每一个深夜求助的生命,送去温暖与力量。


关注订阅号 了解更多咨询

搜索医生
+
寻找适合您的医生,评估您的医疗需求。
预约挂号
+

微信扫码预约

您可致电24小时服务中心(96120)预约医生。
联系我们
-
24小时服务电话
96120
投诉信箱
csc@hq.gwmc.cn
胸部肿瘤放化疗Ⅰ疗区 Chest tumor Radlotherapy and Chemotherapy Ⅰ Treatment Area
胸部肿瘤放化疗Ⅱ疗区 Chest tumor Radlotherapy and Chemotherapy Ⅱ Treatment Area
乳腺疾病诊疗中心 Breast Disease Diagnosis and Treatment Center
头颈肿瘤放化疗疗区 Head and Neck Tumor Radlotherapy Chemotherapy Treatment Area
消化道肿瘤放化疗Ⅰ疗区 Gastrointestnal Tumor Radotherapy Chemotheapy Ⅰ Treatment Area
放射治疗中心 Radiotherapy Center
妇科放化疗 Interventional therapy
介入治疗科 Interventional Therapy Center
淋巴瘤/血液病科 Lymphoma / Hematological Disease
甲状腺外科/肝胆胰/腹膜后软组织外科 Hepatobiliary Pancreatic / Retroperitoneal Surgery
结直肠肛门外科 Colorectal and Anal Cancer Surgery
耳鼻喉头颈外科 Otolaryngology Head and Neck Radiotherapy Surgery
泌尿外科 Urology Surgery
胃肠外科 Gastrointestinal Surgery
神经外科 Department of Neurosurgery
胸外科/肺结节诊疗中心 Thoracic Surgery
产科 Obstetrics Department
骨科 Orthopaedics
妇科 Gynaecology
儿科 Pediatrics
呼吸内科 Respiratory Medicine
消化内科/中医科 Gastroenterology/Traditional Chinese Medicine
脑血管病中心 Cerebrovascular Disease Center
内分泌风湿免疫内科 Department of Endocrine Rheumatology and Immunology
肾病中毒内科 Internal Medicine Department of Nephrosis
心血管疾病诊疗中心 Cardiovascular Medicine Center
96120急救中心 First Aid Centre 96120
健康体检中心 Health Examination Center
医学影像中心 Medical Imaging Center
临床检验中心 Clinical Testing Center
核医学科 Nuclear Medicine Department
内镜中心 Endoscopy center
电诊科 Electrodiagnosis Department
ICU ICU
病理科 Pathology Department
皮肤科 Dermatology
手术中心 Operation Center
康复中心 Rehabilitation Center
月子会所 Maternity hotels
中医科 Traditional Chinese Medicine department



Copyright © 2017 by CopyGuowen medical .co. All rights reserved     吉公网安备 22038102000293号  吉ICP备18000181号