近日,国文医院心血管内科介入团队联合北京专家,灵活运用球囊锚定、主动支撑、延长导管多项核心技术,历经精准操作,成功为七旬老人打通完全堵死的心脏血管。术后老人恢复顺利,胸痛症状彻底消失,家属对救治结果与医院服务赞不绝口。
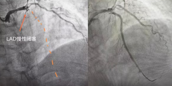
74 岁的陈阿姨(化名),数月来被反复胸痛折磨的寝食难安,稍一活动就胸口憋闷、刺痛难忍,休息后也难彻底缓解。辗转就医后,病情始终未获有效解决,最终在国文医院迎来转机:检查显示其心脏前降支近端钙化并完全闭塞,属于冠心病中难度极高的冠状动脉慢性完全闭塞病变(CTO),堪称冠脉介入治疗的 “最后堡垒”。
凶险的前降支CTO,老年女性的“致命警报”
心脏正常运转依赖冠状动脉供血,前降支作为冠脉中供血范围最广、最关键的血管,负责心脏前壁、心尖等核心区域供血,一旦堵塞,极易引发大面积心肌缺血、急性心梗甚至猝死。这位老年女性所患的CTO病变,即冠脉完全闭塞超3个月,血管壁伴随大量坚硬钙化斑块,如同心脏“生命干道”被石块堵死,管壁脆硬。
此类病变凶险难治,一是钙化严重,普通导丝难以穿透;二是老年血管弹性差、易扭曲,术中易出现穿孔、夹层;三是闭塞时间长,血管走形难判断,对专家经验和技术要求极高。
三大技术联手攻坚,北京专家精准打通闭塞血管
面对老人高危复杂的病情,北京专家联合国文医院介入团队,术前反复研讨评估,优化方案、选定器械,制定个性化手术方案,凭借精湛技术与默契配合攻克难关。

1、延长导管延伸“操作手臂”,突破血管扭曲障碍。
老人冠脉不仅闭塞,还存在自然弯曲、钙化扭曲,常规导管长度不足无法抵达闭塞入口。延长导管可在原有基础上增加柔韧延伸段,将“手术手臂”延长,顺利穿过弯曲血管,稳稳抵达闭塞入口,为后续操作搭建稳定通道,避免损伤脆弱血管。
2、主动支撑筑牢“操作根基”,助力导丝精准前行。
钙化闭塞段阻力极大,导丝需足够支撑力才能穿透。主动支撑技术优化指引导管同轴性与支撑位置,为导丝、微导管提供持续支撑,搭建稳固“手术平台”,让导丝精准沿血管真腔穿透钙化段,降低手术风险。
3、球囊锚定固定“器械平台”,攻克高阻力钙化灶。
针对前降支近端严重钙化的高阻力,医生将特制小球囊送至病变分支,轻微扩张后像“船锚”固定器械系统,防止导管、导丝移位,有效对抗阻力,让器械顺利通过闭塞段,开通血管、恢复供血。
手术由北京专家全程主导,操作精准细致,成功打通闭塞前降支,彻底解决老人心肌缺血问题。术后第二天,老人精神明显好转,可下地活动,家属对专家技术与医院服务充满感激。
从辗转求医的煎熬到重获健康的安心,这位老年患者的康复,彰显了国文医院的医疗实力,也体现了优质医疗资源下沉的民生温度。未来,医院将持续深化合作,把北京优质技术带到本地群众身边,让本地区患者足不出省就能享受优质诊疗服务,筑牢群众心血管健康防线。
微信扫码预约

吉公网安备 22038102000293号 吉ICP备18000181号